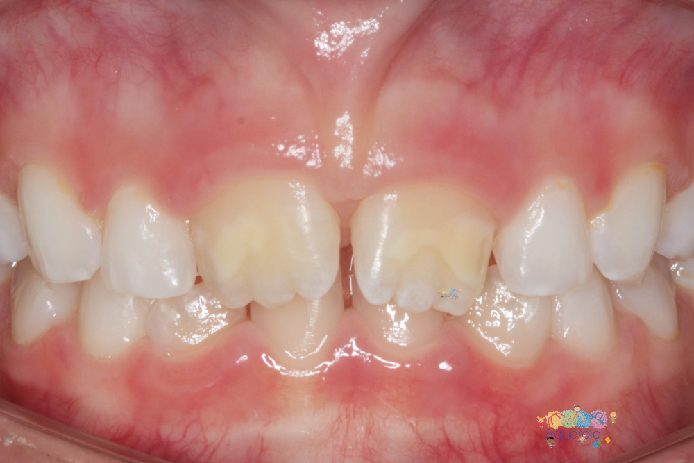
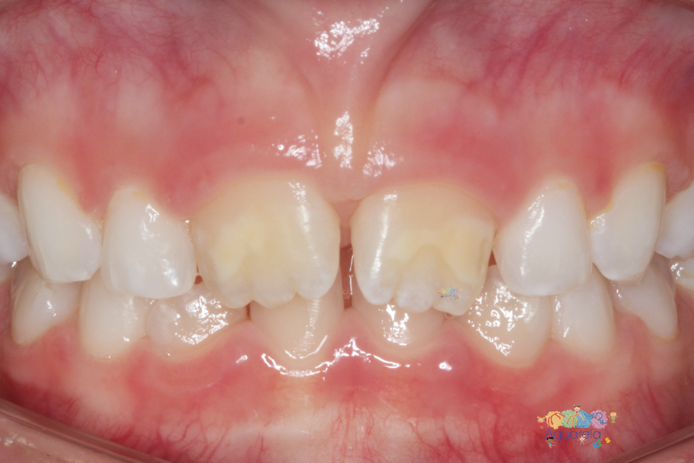
Nossos Tratamentos Fornecer um atendimento odontológico de excelência é o nosso objetivo. Tratamentos Ortodônticos Invisalign Ver tratamento Aparelho Fixo Autoligado Ver tratamento Ortopedia Funcional do Maxilares Ver tratamento Apneia do Sono Ver tratamento Aparelho Móvel Ver tratamento Aparelhos Transparentes Ver tratamento Tratamentos Clínicos Limpeza/Profilaxia Ver tratamento Restaurações Ver tratamento Avaliação de cárie Ver tratamento Prevenção Odontológica Ver tratamento Sensibilidade nos Dentes Ver tratamento Tratamentos Estéticos e do Hálito Lente de Contato Dental Ver tratamento Clareamento Dental Ver tratamento Tratamento do Hálito e da Saliva – Halitose Ver tratamento Tratamento odontológico para noivas e noivos – Aquarela Wedding Day Ver tratamento Restaurações Estéticas Ver tratamento DSD – Planejamento Digital do Sorriso Ver tratamento Prótese sobre implante Ver tratamento Aquarela Kids – Odontopediatria Odontopediatria Ver tratamento Flúor: aplicação tópica Ver tratamento Profilaxia: limpeza dos dentes Ver tratamento Primeira consulta em Odontopediatria Ver tratamento Avaliação de cárie Ver tratamento Odontopediatra – Atendimento aos bebês Ver tratamento Pré-Natal Odontológico Ver tratamento Prevenção Ver tratamento Urgência e Emergência em Odontopediatria Ver tratamento Hipomineralização dos Molares e Incisivos Ver tratamento Língua Presa Ver tratamento Tratamentos Cirúrgicos Siso Ver tratamento Implante Ver tratamento Gengivoplastia Ver tratamento Remoção de cistos Ver tratamento Dentes inclusos Ver tratamento Recobrimento Radicular Ver tratamento CompartilharPinTwittarCompartilhar0 Compart.