Brasília Shopping 13º andar (61) 99187-5504 / Taguatinga Trade Center (61) 98287-0986

Hipomineralização dos Molares e Incisivos

Hipomineralização dos Molares e Incisivos, MIH ou HMI: o que é isso?

Nomeclatura MIH ou HMI

A nomenclatura Hipomineralização dos Molares e Incisivos (ou em inglês, Molar Incisor Hypomineralisation) foi oficializada em 2003, relacionada a um defeito de desenvolvimento do esmalte em dente permanente. Nos últimos anos, estudos relataram a ocorrência deste defeito também na dentadura decídua afetando os segundo molares, sendo chamada de HSPM (ou em inglês, Hypomineralised Second Primary Molars).

A Hipomineralização dos Molares e Incisivos

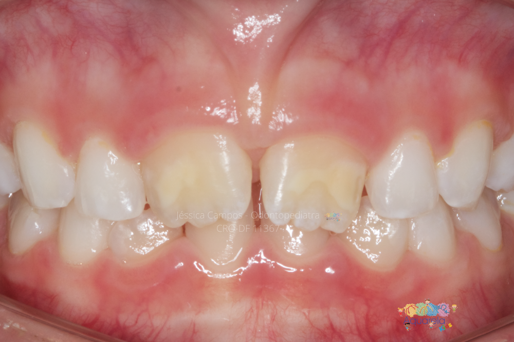
A Hipomineralização dos Molares e Incisivos é um defeito no processo de mineralização do esmalte dentário ( parte externa do dente), em que ele é formado com menos mineral do que o ideal. Clinicamente, o dente nasce com uma coloração amarelada e opaca.

Além da cor alterada, o esmalte apresenta uma maior porosidade e é quebradiço.E

Esse defeito ocorre, principalmente, nos primeiros molares permanentes (dentes que nascem entre 5 e 8 anos de vida), em alguns casos os incisivos permanentes e até segundos molares decíduos. Por afetar dentes que surgem em idade tão tenra, muitos pais não percebem as manchas e acabam identificando algum problema quando já se tornou uma cavidade.

O que acontece?

Após a erupção completa, os dentes entram em contato com seu antagonista, e com a rotina mastigatória e/ou nos casos que de pacientes que apresentam parafunção, como o bruxismo, os dentes afetados pela HMI – Hipomineralização dos Molares e Incisivos ficam expostos à grandes cargas, gerando fraturas no esmalte afetado.  As regiões fraturadas são retentivas e quando há pouca higiene oral, ocorrem o desenvolvimento de lesões de cárie.  

Como identificar a Hipomineralização dos Molares e Incisivos

  • Manchas escurecidas e ou amareladas nos primeiros molares ou incisivos
  • As manchas são na maioria das vezes concentradas
  • Aspecto de esmalte poroso
  • Dente frágil e quebradiço
  • Presença de sensibilidade na maioria dos casos, com estímulo frio.

Muitas vezes o MIH pode ser confundido com fluorose, que ocorre devido a ingestão excessiva de flúor no período de formação nos dentes. Esta também é caracterizada manchas com tonalidades que variam entre branco, amarelo e marrom. Entretanto, não fragiliza a estrutura dental e não possui nenhuma relação com o MIH. A principal diferença está na fase em que a alteração ocorre. A MIH é resultado da uma alteração  que ocorre durante a fase de mineralização do esmalte dental, enquanto a fluorose se da durante a fase de maturação. Aconselha-se uma consulta com um especialista para que o diagnóstico correto seja feito para conduzir um tratamento adequado.

 A região do dente afetada pelo MIH é sempre mais sensível à estímulos frios, principalmente. Desta forma, uma sinal importante para que os pais tenham atenção para a possível existência de lesões hipomineralizadas ou até mesmo já estar quebrado, é o relato, por parte das crianças, que os dentes doem ao tomar suco, chupar sorvete e picolé.

Como diferenciar cárie de MHI ou HMI?

Saber diferenciar essas lesões é extremamente importante, para traçar o melhor tratamento.

Não é incomum os pais percebem a lesão na boca do filho já existe uma cavidade, que se parece muito com a cárie. Para diferenciar, é importante observarmos alguns fatores:

– Paciente apresenta boa higiene oral?

– Antes de quebrar existia alguma mancha amarela nos dentes?

– Ao redor da cavidade existe alguma mancha amarela?

– Paciente já tem algum outro dentes restaurado ou possui histórico de cárie?

Se a resposta das três primeiras perguntas for SIM, a chance desta lesão ser HMI é muito grande. O que ocorre, na maioria das vezes, é que os pais não percebem que o esmalte se quebrou, pelo simples esforço mastigatório, gerando uma região retentiva. Nesses pontos de quebra, há acúmulo placa bacteriana e de forma secundária acontece o desenvolvimento da doença cárie. Clinicamente as cavidades são muito parecidas, mas o histórico, o padrão de higiene e a existência de outras manchas amarelas no mesmo ou em outros dentes são importantíssimas para o diagnóstico diferencial.

Para que isso não ocorra, é importante que os pais estejam sempre atentos à boca dos filhos, investigando a existência de manchas pré-existentes na superfície dos dentes, para saber relatar ao odontopediatra, e auxiliá-lo na conduta terapéutica, seja HMI/MIH ou lesão de cárie.

Como funciona o tratamento?

A prevenção é sempre o melhor tratamento! Sabendo disso, manter as consultas regulares ao odontopediatra permite que as lesões sejam identificadas de forma precoce; que a família receba as orientações para evitar ou retardar as fraturas, e quando elas acontecerem, garante a intervenção precoce, sem chance de desenvolvimento das lesões de cárie. Os paciente de MIH devem fazer suas consulta em um intervalo de tempo menor e o tratamento restaurador é indicado sempre que há fraturas.

Entre em contato