Brasília Shopping 13º andar (61) 99187-5504 / Taguatinga Trade Center (61) 98287-0986

DSD – Planejamento Digital do Sorriso

O Planejamento Digital do Sorriso é mais uma evolução no campo da Odontologia, que segue em aperfeiçoamento constante tanto na parte da estética como na funcional e preventiva. Este estudo consiste em um planejamento personalizado do sorriso para cada paciente, chamado de DSD (Digital Smile Design). Ele respeita seus desejos, personalidade, características físicas e funcionais.

O que é Planejamento Digital do Sorriso?

O planejamento faz uso de tecnologia avançada como computadores, escaners e softwares para que se obtenha:

  • diagnóstico personalizado e completo;
  • forma, contorno e características individuais;
  • detalhamento de pontos específicos;
  • possíveis alterações;
  • planejamento adequado do sorriso;
  • procedimentos adequados, modernos e minimamente invasivos;
  • resultados esperados.

Com isso, a tecnologia permite um melhor diagnóstico e planejamento para finalizações mais precisas e satisfatórias.

Como funciona o Planejamento?

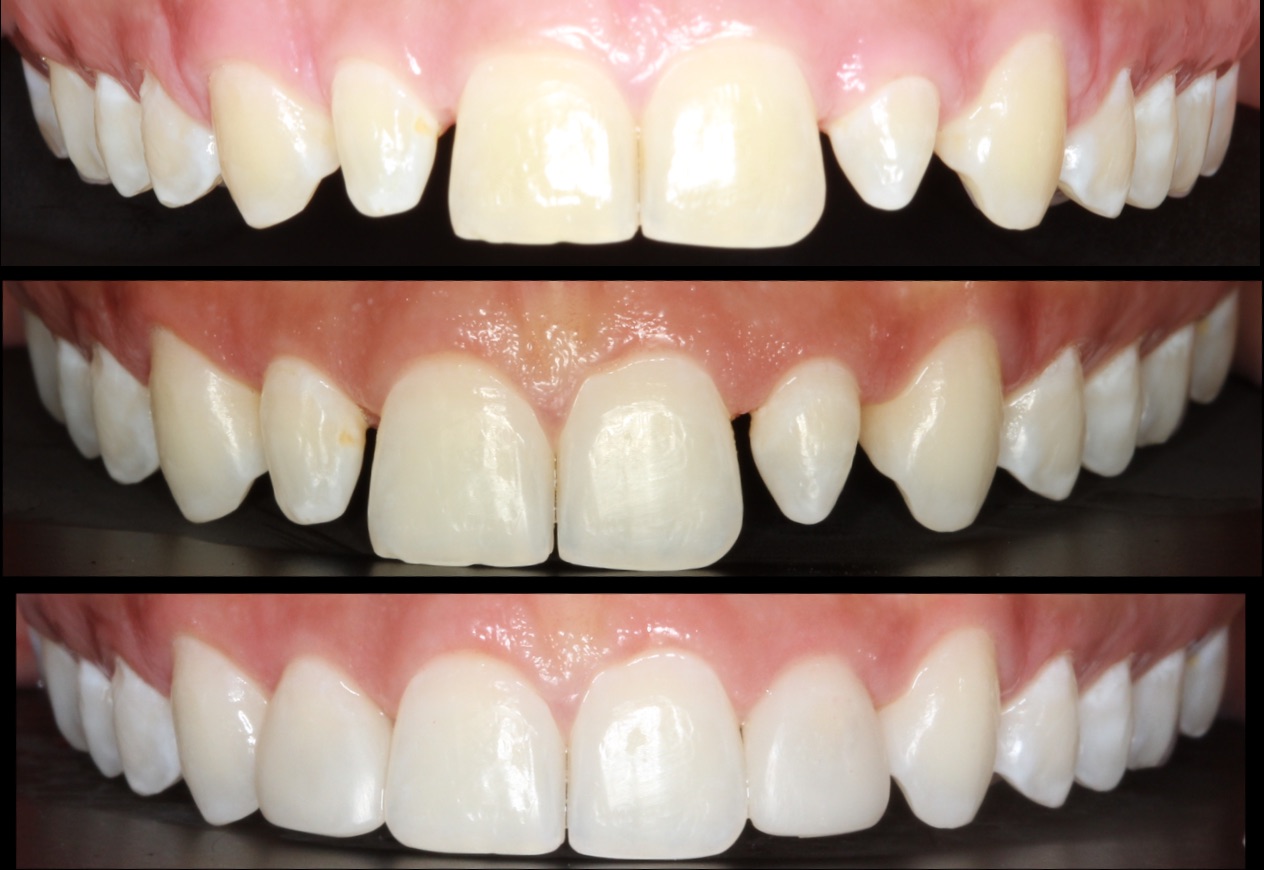
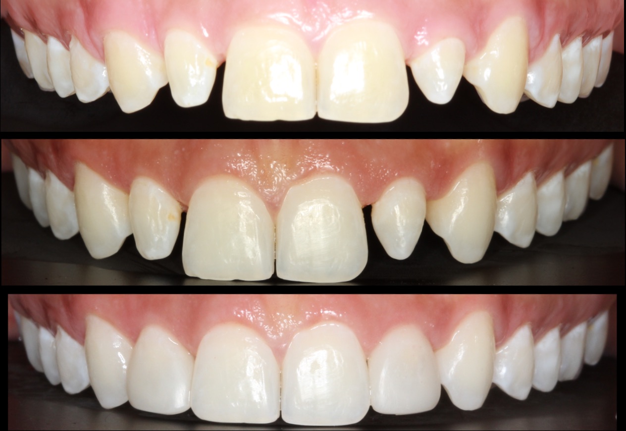
O planejamento do sorriso é feito por meio de algumas etapas que consistem na coleta de dados para análise e diagnóstico, planejamento, definição do tratamento e confecção do novo sorriso.

Análise e diagnóstico do Sorriso

Em uma primeira etapa serão feitas capturas de imagens e vídeos da boca, sorriso e face, para que seja transferido para uma tela de computador e analisada.

Planejamento

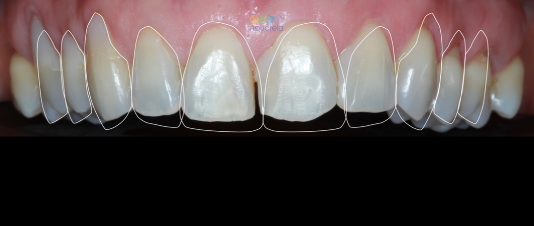
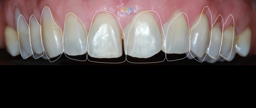
Por meio do desenho das linhas e formas de referência sobre imagens de alta qualidade na tela do computador, é possível ponderar as limitações e os fatores de risco, como assimetrias, desarmonias e violações aos princípios estéticos, e, a partir disto, confeccionar guias cirúrgicos para orientar o especialista a fim de chegar no resultado esperado da forma e contorno dos dentes e da plástica gengival.

Além disso, nessa etapa é possível fazer pequenos ou grandes ajustes por meio de um alinhador ortodôntico invisível, Invisalign, afim de otimizar espaços e melhorar o resultado. Vale ressaltar que não é necessária a instalação do Invisalign em todos os casos, entretanto uma avaliação ortodôntica se faz importante.

Definição do tratamento

Utilizando softwares em computadores, o dentista pode trabalhar as imagens adquiridas da pessoa, e modificar forma, contorno e tamanho dos dentes, possibilitando a alteração da aparência do sorriso.

Com isso, o profissional define por meio de parâmetros pré estabelecidos de estética atual qual seria o melhor tratamento para cada paciente. 

Isso levando em conta o tamanho dos dentes, o formato desejado, a angulação em relação aos lábios e a face e a cor esperada.

As opções de tratamento variam em cada caso, mas algumas possibilidades de melhorar a estética e a função são:

  • próteses;
  • restaurações com resina composta;
  • implantes;
  • coroas ou blocos;
  • facetas;
  • lentes de contato dental;
  • tratamentos ortodônticos (Invisalign)
  • gengivoplastia;
  • extrações dentárias.

É por meio do planejamento digital que podemos transformar sorrisos.

Por fim, conseguimos o tão sonhado sorriso. O paciente participa ativamente de cada etapa opinando e modificando alguns pontos. Além disso, ele poderá ver a evolução e aprovar etapa por etapa para que o resultado seja assim como o esperado.

Por que é importante planejar seu sorriso?

O planejamento faz parte de um guia, assim como o arquiteto é essencial no desenvolvimento do projeto de uma casa.

O DSD tem como objetivo minimizar erros e atender ou até mesmo ultrapassar as expectativas geradas acerca do resultado esperado pelo paciente

É importante lembrar que esta técnica permite a criação do desenho do sorriso antes de começar o tratamento com seu dentista da estética ou ortodontia e, consequentemente, evitarmos tratamentos desastrosos e antiestéticos.

Entre em contato