Brasília Shopping 13º andar (61) 99187-5504 / Taguatinga Trade Center (61) 98287-0986

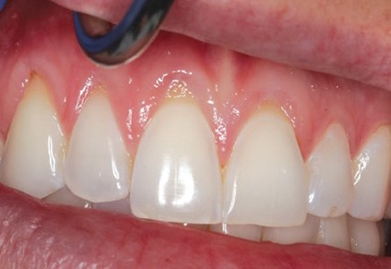
Recobrimento Radicular

O recobrimento radicular é uma técnica que tem como objetivo principal corrigir a estética e a função.

 

A gengiva é um tecido muito sensível, capaz de sentir e reagir às alterações bucais, tais como presença de placa bacteriana, restaurações e próteses dentárias. O tipo de reação é diferente para cada pessoa, depende não só do tipo de gengiva do paciente, como também da intensidade e duração do fator causal.

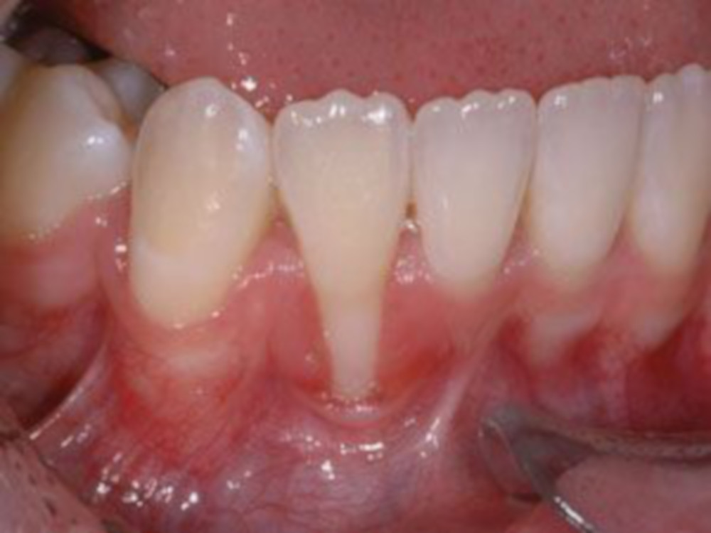
Uma das reações da gengiva é conhecida como retração gengival. Esse processo é lento e se caracteriza por uma gengiva posicionada acima da margem gengival em um ou mais dentes.

 

Gengiva Retraída

São 03 (três) os principais problemas associados à retração gengival:

1) Exposição da raiz ao meio bucal. É fácil notar a coloração um tom mais escuro no seu dente quando existe uma gengiva retraída, essa cor é característica da raiz dentária. Ela não está preparada para ficar exposta em meio bucal, por isso, a agregação de placa bacteriana e o desenvolvimento de cárie pode se mais fácil que na superfície dentária;

2) Dor. A superfície da raiz gera mais sensibilidade que a superfície dentária, pois não existe uma camada de esmalte protetora sobre ela. Por isso, pacientes com gengiva retraída queixam-se muito mais de sensibilidade; e

2) Estética. Um dente com gengiva retraída possui sua estética comprometida, principalmente quando se trata de dentes anteriores.

 

Tratamento

O principal tratamento é realizado através de procedimentos cirúrgicos para obter o recobrimento radicular, tal tratamento visa o recobrimento da(s) superfície(s) de raiz(es) exposta(s) por tecido gengival. O tecido é coletado e manipulado de forma cuidadosa, para que seja posicionado no lugar proposto.

Existem diversas técnicas de cirurgia desenvolvidas para solucionar problemas específicos. A técnica escolhida depende de diversos fatores.

Principais indicações:

  • Recobrimento de raizes dentárias expostas por retração gengival;
  • Correção de alterações gengivais decorrentes de próteses ou implantes; e
  • Melhora do resultado de tratamentos com próteses dentárias.

Entre em contato