A palavra Bruxismo vem do grego “bruchein” que significa apertamento, fricção ou atrito dos dentes. Ele é definido como uma atividade involuntária de ranger (bruxismo excêntrico) ou apertar (bruxismo cêntrico) os dentes, tanto de dia quanto de noite .
O bruxismo ocorre com mais freqüência de noite, durante o sono, quando os músculos responsáveis pela abertura e fechamento da boca promovem contrações musculares rítmicas com uma força maior do que a força normal, isso gera um atrito muito forte que pode resultar em ruídos agudos e grandes desgastes dentários.
As principais causas do bruxismo são problemas emocionais, raiva, medo e estresse. Entretanto, vários fatores etiológicos são responsáveis pelo desenvolvimento desse ranger como fatores locais, sistêmicos, hereditários, ocupacionais, psicológicos, ansiedade, e situações emocionais, relacionadas a eventos de estresse experimentados pelos indivíduos.
Hoje em dia é cada vez mais comum ver pacientes apresentando sintomas de bruxismo no consultório odontológico, isso pode ser resultado de uma vida mais agitada e com muitas cobranças. É importante ressaltar que apesar do alto número de casos, isso não é uma coisa normal e precisa ser tratado.
Clinicamente observa-se desgastes dentários, formação de trincas, quebra de restaurações, dores nos músculos da face, dores de cabeça e intenso cansaço ao acordar. Uma vez diagnosticado, o bruxismo deve ser tratado de forma individual para cada paciente e de maneira multidisciplinar, contando ainda com auxilio de profissionais para avaliar o estado emocional do paciente.
Como formas de tratamento temos a fisioterapia, ajustes oclusais, procedimentos restauradores, tratamento ortodôntico, uso de placa miorelaxante e a aplicação de toxina botulínica. Em alguns casos pode ser necessário o uso de medicamentos orais sistêmicos, além de acompanhamento psicológico.
Clique aqui para agendar uma avaliação.


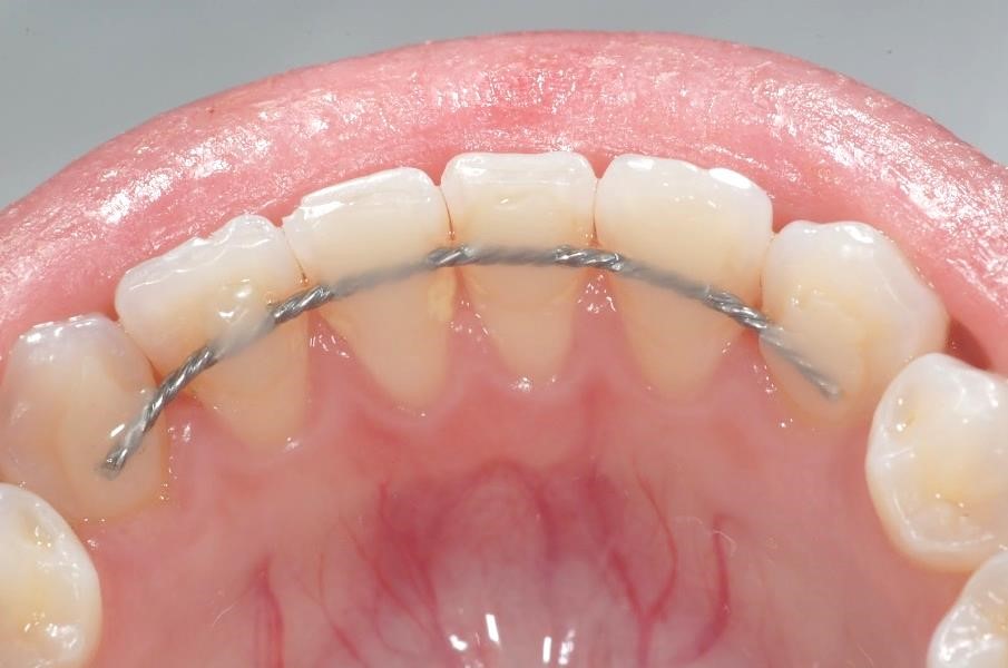
É normal os dentistas colocarem uma contenção ortodôntica depois de finalizar o tratamento, mas ela é mesmo necessária?
A principal função das contenções ortodônticas é evitar a recidiva dos dentes tanto no sentido anteroposterior quando no sentido lateral. Isso quer dizer que quando usadas elas tendem a deixar os dentes naquela posição por mais tempo, já que existe uma chance considerável dos dentes movimentarem de novo após o tratamento. A contenção é necessária para permitir que os dentes “aprendam” a nova posição, isso pode levar algum tempo.

Existem tipos diferentes de contenção que possuem o mesmo propósito. As mais utilizadas são:
- Placa de Hawley: um tipo de contenção móvel usada na arcada superior.
- Contenção fixa: fica na parte de dentro dos dentes inferiores e podem ser confeccionadas com ondulações (conhecidas como barra higiênica) ou retas. Além disso, existem para os dentes superiores, ela é parecida com a dos inferiores, mas ela é colocada na parte de dentro dos dentes superiores.
- Aparelho invisível: é igual o aparelho invisível do tipo clear aligner ou invisalign usado como contenção.
Todas elas possuem vantagens e desvantagens, mas o mais importante é que elas só funcionam se estiverem na boca pelo tempo determinado pelo dentista. Algumas vezes é preciso fazer ajustes para ficar na melhor posição possível e permitir que cumpra sua função, é por isso que são agendadas consultas de retorno espaçadas.
E por quanto tempo devo usar?
Essa é uma pergunta que todos os pacientes fazem, mas acontece que ela não tem resposta exata. Cada dente se comporta de maneira diferente, uns estabilizam outros não, e isso não é previsível. Cada pessoa também se comporta diferente das outras, como por exemplo hábitos de roer unha, morder ponta de caneta, interpor a língua ao engolir, hábitos para funcionais como bruxismo e apertamento, podem promover a movimentação inadequada dos dentes.
Então, a dica é: se não está incomodando, não tem problema continuar com a contenção. Se tiver incomodando, procure seu dentista para avaliar se a contenção está em posição adequada, sem sobras ou pontas. Mas, se você quiser correr o risco, quanto mais tempo usar a contenção, menor a chance de ocorrer recidiva. Além disso, tire todas suas dúvidas com seu dentista e entenda o motivo da utilização de cada coisa para que o uso da contenção ortodôntica não seja tão ruim assim.
A verdade é: se até o príncipe William usa contenção ortodôntica, por que eu não posso usar?

A tecnologia já mudou e vem mudando a forma como vivemos com suas inovações e novas técnicas. Claro que todo mundo ama a tecnologia e hoje não sabemos mais viver sem ela. Agora, você já imaginou como seria um consultório totalmente tecnológico?
O ambiente do consultório te leva a uma viagem pela tecnologia. A organização, limpeza e o acolhimento são características essenciais que todo consultório precisa ter. Isso transmite ao paciente uma tranquilidade antes de sua consulta. Para as crianças, ajuda a desenvolver uma relação de confiança com o profissional e permite que tenham menos medo ao se consultar.

Sabemos o quanto as pessoas gostam de coisas visuais, por isso hoje são feitas diversas fotos extra e intra-orais. Assim, todo o processo pode ser registrado e visualizado de forma completa pelo paciente, dentista e demais especialistas que participarão do procedimento. Fotos e vídeos são muito importante para percepção visual, entendimento e planejamento do caso como um todo.

Muitas vezes o dentista precisa fazer o molde da sua boca, nisso todos pensam na “massa” desconfortável que coloca-se na boca, com isso obtêm-se o modelo de diagnóstico. Isso não é mais necessário. Hoje temos diversos meios de fazer o molde dos pacientes de forma mais confortável e tranquila. O meio mais utilizado é um tipo de silicone que é inserido na boca da mesma forma que a “massa”, entretanto não promove tanto desconforto já que seu escoamento para a garganta é menor. Além disso, existe hoje o escaner intra-oral, um aparelho inovador que escaneia sua boca como um vídeo e transfere para o computador como um modelo em 3D. Assim, evita-se o incômodo da moldagem e permite uma melhor experiência na cadeira.

Falando de aparelho ortodôntico, em um consultório tecnológico é possível o alinhamento dos dentes com um aparelho que não tem metal e nem braquetes, que não machucam a bochecha, não são fixos, são super confortáveis e o melhor, são totalmente TRANSPARENTES. Esse aparelho funciona como um aparelho fixo convencional, promovendo movimentos semelhantes e resultados incríveis com muitas vantagens. Hoje temos vários tratamentos para melhorar a experiência do paciente com aparelhos ortodônticos e garantir um sorriso especial com muito conforto.
A tecnologia também se encontra na impressora 3D muito presente na área odontológica. Hoje alguns dentistas trabalham com a impressora 3D dentro de seus consultórios, como é feito aqui na Aquarela. A impressora atua imprimindo modelos diagnósticos, provisórios, modelos finais, entre outros. Ainda com o uso da impressora 3D e de softwares específicos, quando necessário instalar um aparelho fixo, confeccionamos um guia para o correto posicionamento dos braquetes de forma a terminarmos o caso mais rápido e com muito mais precisão, isso é chamado de colagem indireta. A impressora funciona como um acessório diferencial que promove uma maior precisão dos seus trabalhos de forma a melhorar o atendimento e o dia-a-dia da clínica.

No mês de Outubro, os Doutores Claudio Sesso e Paulo Nagata ministraram mais um curso avançado referente ao credenciamento Clear Aligner.
Os aparelhos transparentes estão ganhando muito espaço na área da ortodontia pois permitem aos paciente muito conforto e segurança. A Aquarela Ortodontia é referência no ramo dos aparelhos transparentes e dão consultoria aos ortodontistas de Brasília.
Se você é doutor e deseja fazer o credenciamento, aqui estão os dias na sua cidade. Mas se você quer tratar com a gente, saiba mais sobre esse tratamento aqui.


Vamos falar daquelas que estão se preparando para uma nova vida: as futuras mamães. Ter um bebê demanda muita atenção durante a gravidez, aqui vão 5 dicas de como melhorar os cuidados com a boca no período da gestação.
- Troque sua escova de dentes por uma nova. Não existe uma marca perfeita, mas se atente a comprar uma escova com cerdas macias de tamanho médio, que alcance todos os dentes e seja confortável. Procure escovar os dentes com calma e paciência evitando forças excessivas para evitar machucados.
- Cuide muito bem da sua gengiva. Sabia que doença periodontal (doença da gengiva) durante a gravidez pode levar a partos prematuros e bebês com baixo peso? Escove após as refeições e antes de dormir, no mínimo, e não esqueça do fio dental.
- Mantenha suas idas ao dentista em dia. O aumento dos níveis hormonais durante a gestação podem levar a uma maior inflamação gengival causada pelo acúmulo de bactérias, chamada gengivite. Nessa fase, a avaliação da saúde gengival precisa ser frequente. Se necessário, agende uma limpeza.
- Escove os dentes com regularidade. Durante a gravidez os níveis de acidez da boca aumentam deixando mais suscetível ao desenvolvimento de cárie. A cárie pode ser evitada com controle da dieta e higienização adequada. Saiba mais aqui!
- Coma bem e de maneira saudável, tanto para você quanto para o bebê. Assim como as doenças periodontais, a deficiência na dieta durante a gravidez pode gerar problemas na formação dos dentes dos bebês. Um fato curioso é que os dentes de leite que normalmente só vão começar a nascer a partir dos 6 meses de idade são formados quando o bebê ainda se encontra na barriga da mãe, por isso esses cuidados são essenciais. Outros fatos sobre os bebês aqui.
Página 3 de 6«12345...»Última »