Aquarela Blog
Confira informações sobre as principais especialidades da odontologia, além de muitas dicas legais!Aparelho invisível funciona?
Entre as opções de tratamento ortodôntico está o aparelho transparente ou invisível. Diferentemente da ortodontia tradicional, não usa braquetes, metais ou fios. Com isso, ele permite um tratamento muito mais confortável, além de discreto e agradável. Eles...
Aparelho fixo ou transparente, qual o melhor para você?
Aparelho fixo ou transparente? Usar aparelho costuma ser uma dor de cabeça, entretanto, uma melhor saúde bucal e uma boa estética alcançada com seu uso, faz com que a maior parte dos brasileiros usem o aparelho ortodôntico na primeira quinzena de vida....
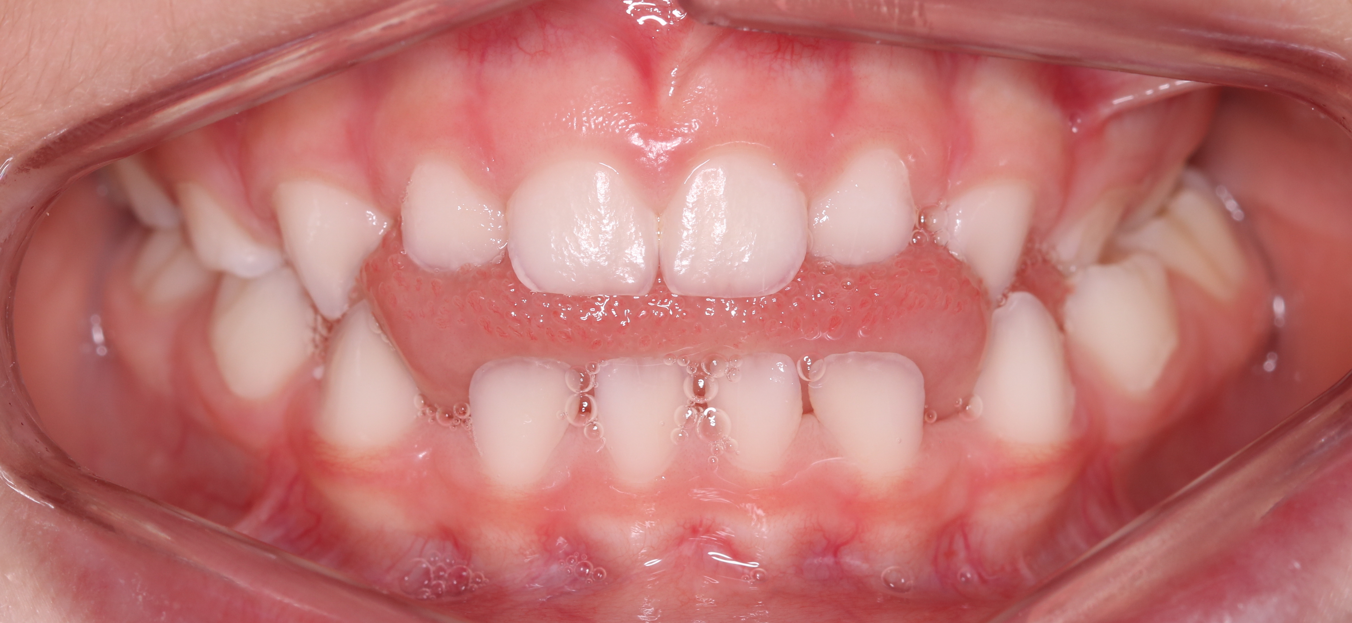
Mordida Aberta
Mordida aberta é a falta de contato entre os dentes superiores e inferiores, podendo estar presente entres os dentes anteriores ou posteriores. Essa condição pode acometer tanto a dentição decídua (dentes de leite) quanto a dentição permanente. Normalmente...
Diastemas
Diademas ou dentes abertos Diastemas são espaços existentes entre dois ou mais dentes, sendo mais encontrados entre os dentes da frente da arcada superior. Nas crianças, os diastemas são uma característica normal da dentição, que, normalmente,...
Sorriso gengival
O sorriso gengival é um problema que afeta uma parcela importante da população e consiste na exposição em excesso da gengiva dos dentes superiores e até inferiores, gerando uma desarmonia estética. Em alguns casos a exposição ocorre durante o sorriso, e em outros com...
Língua presa, como tratar?
A anquiloglossia, mais conhecida como língua presa, é o quadro caracterizado pela presença de um freio ou frênulo lingual com inserção anormal. Normalmente está relacionado a limitação na realização de alguns movimentos da língua, como tocar o...
Invisalign: por que os adolescentes preferem usar o aparelho invisível?
Sem fios e incômodos, o aparelho tem conquistado jovens de todo o mundo. Ele é mais confortável, discreto e bem prático! Com muitas mudanças, dúvidas e incertezas, os jovens em geral, buscam soluções. O desalinhamento dos dentes é uma coisa que incomoda e...
Flúor no dentista, para que serve isso?
O Flúor traz inúmeros benefícios quando se trata de prevenção da cárie. A cárie em si, é caracterizada pela colonização da superfície do esmalte por microorganismos que, metabolizam carboidratos fermentáveis e produzem ácidos. Esses ácidos desmineralizam a superfície...
A importância do leite materno
Segundo a Organização Mundial da Saúde (OMS), o aleitamento materno deve ser exclusivo no bebê até os 6 meses de idade por se tratar de um alimento completo e natural, isso quer dizer que não existe necessidade de sucos, chás, água e outros alimentos. ...
Dente do siso
Os dentes do siso são os últimos dentes a chegarem na boca, normalmente entre os 17 e 21 anos de idade. É comum a falta de espaço para esses dentes, por isso,em muitos casos, é indicada a extração. Eles geram desconforto na boca, dor, acúmulo de placa e também podem...









