Aquarela Blog
Confira informações sobre as principais especialidades da odontologia, além de muitas dicas legais!Halitose: Principais causas e como evitar
As principais causas do mau hálito são: Falta de higienização na boca;Cárie;Periodontite;Longos períodos de tempo sem comer;Problemas estomacais; Como evitar? Uma das maneiras mais eficazes de combater a halitose é manter uma boca saudável e limpa. Para isso, é...
Você já ouviu falar em odontologia do sono?
A odontologia do sono é um novo campo que atua no tratamento de distúrbios relacionados ao sono que afetam diretamente a qualidade de vida de milhares de pessoas.O dentista especializado nessa área é capaz de diagnosticar e tratar pacientes com bruxismo (ranger os...
Você sabe o que é DTM?
DTM é a sigla utilizada para designar “Disfunção temporomandibular”, que é o nome dado ao conjunto de alterações que envolvem principalmente as articulações da boca (chamadas de articulação temporomandibular - ATM) e os músculos que trabalham nos movimentos da...
8 Dicas para lidar com o famoso medo de dentista ou ansiedade odontológica.
Entre os desafios que todos os dentistas já se depararam no consultório estão a odontofobia e a ansiedade odontológica. Em alguns casos, o famoso medo de dentista pode ser bem complicado e transformar a consulta em um momento de estresse para ambos os lados....
Você já teve recidiva ortodôntica após o fim de um tratamento com aparelho?
Com a finalização do tempo de uso do aparelho ortodôntico, para a maioria dos casos é confeccionada uma contenção, que pode ser móvel - em geral para os dentes superiores - ou fixa - colada por trás dos inferiores. Porém, mesmo com os cuidados durante o tempo de uso...
Todo mundo precisa tirar os sisos?
Não, nem todo mundo precisa...Quando é necessário extrair o dente do siso?A extração dos sisos é indicada sempre que há a presença de dor de dente, dificuldades na mordida, desconforto ou desalinhamento dos molares. Entretanto, somente seu dentista poderá avaliar a...
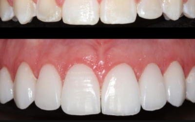
Gengivoplastia
Por muitas vezes nota-se um excesso de exposição gengival, o que pode comprometer a estética. A gengivoplastia é uma cirurgia plástica gengival visando corrigir altura, contorno e proporção gengival em relação ao sorriso. Ficou com alguma dúvida? Entre em...
Tártaro Infantil
Crianças tem tártato?SIMMMM!O tártaro nada mais é do que a calcificação da placa bacteriana pelos minerais presentes na saliva, e deixa o aspecto amarelado nos dentes.Se há acúmulo de placa na superfície dos dentes, a saliva pode tornar a placa endurecida...
Consequências de não corrigir dentes tortos
Muita gente foge da ortodontia pois não se incomodam com a estética. Porém, as consequências de ter dentes desalinhados vai muito além.Aqui vão alguns problemas que dentes desalinhados podem gerar:1. Mau hálito2. Dores na face e na ATM3. Dificuldade de...
Como higienizar aparelhos removíveis?
O aparelho móvel podem ser de 2 tipos:1. Aparelho ortopédico, muito comum em crianças;2. Aparelho de contenção, pós tratamento ortodôntico.Os dois são confeccionados do mesmo material: aço inoxidável e resina acrílica. Eles pode ser removidos da boca...









