Aquarela Blog
Confira informações sobre as principais especialidades da odontologia, além de muitas dicas legais!Coisas estranhas que acontecem quando você tira o aparelho fixo!
1. Dessa vez você vai MUITO feliz ao dentista Uhuuul dentes novos! 2. Quando tira o aparelho, parece que tiraram também seus dentes Não se preocupe, é só impressão mesmo! 3. Quando você se olha no espelho, percebe que é uma nova pessoa Calma, ainda é...
O dente quebrou, e agora?
Durante a infância é comum a ocorrência de tombos e quedas, principalmente quando começam a dar os primeiros passos. Nesse período da vida as crianças estão passando pela fase de desenvolvimento em que o cair e levantar várias vezes faz parte do...
Cuidados com aparelho fixo
O aparelho ortodôntico fixo é usado pelos dentistas com um objetivo de promover o alinhamento dos dentes que se encontram fora de posição. Entretanto, é necessário ter alguns cuidados para que o rendimento do aparelho seja o melhor possível. Vamos falar de 5...
Sensibilidade nos dentes, você tem?
O nosso dente é formado por uma camada protetora chamada esmalte. Quando esta camada é constantemente exposta à acidez ou à processos traumáticos ela sofre desgaste ou dissolução, deixando em contato com o meio bucal a dentina - camada mais interna. Esta exposição da...
10 Fatos sobre os bebês
Os dentes de leite fazem parte do desenvolvimento da criança. Muitos pais têm dúvidas sobre cuidados com seus filhos, principalmente pais de primeira viagem. Perguntas sobre a idade que os dentes vão nascer e com o que devem se preocupar são muito frequentes. Além...
Bruxismo
A palavra Bruxismo vem do grego “bruchein” que significa apertamento, fricção ou atrito dos dentes. Ele é definido como uma atividade involuntária de ranger (bruxismo excêntrico) ou apertar (bruxismo cêntrico) os dentes, tanto de dia quanto de noite . O bruxismo...
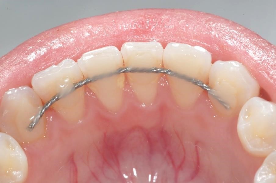
Preciso usar contenção depois do tratamento ortodôntico?
É normal os dentistas colocarem uma contenção ortodôntica depois de finalizar o tratamento, mas ela é mesmo necessária? A principal função das contenções ortodônticas é evitar a recidiva dos dentes tanto no sentido anteroposterior quando no sentido lateral....
Dentista tecnológico
A tecnologia já mudou e vem mudando a forma como vivemos com suas inovações e novas técnicas. Claro que todo mundo ama a tecnologia e hoje não sabemos mais viver sem ela. Agora, você já imaginou como seria um consultório totalmente tecnológico? O ambiente do...
Credenciamento Clear Aligner
No mês de Outubro, os Doutores Claudio Sesso e Paulo Nagata ministraram mais um curso avançado referente ao credenciamento Clear Aligner. Os aparelhos transparentes estão ganhando muito espaço na área da ortodontia pois permitem aos paciente muito conforto e...
5 dicas para cuidar dos seus dentes durante a gravidez
Vamos falar daquelas que estão se preparando para uma nova vida: as futuras mamães. Ter um bebê demanda muita atenção durante a gravidez, aqui vão 5 dicas de como melhorar os cuidados com a boca no período da gestação. Troque sua escova de dentes por uma nova....









