Aquarela Blog
Confira informações sobre as principais especialidades da odontologia, além de muitas dicas legais!Dentes conóides
Os dentes conoides são dentes com um tamanho menor que o normal. Eles podem ser herdados geneticamente ou não. Eles não trazem prejuízo à saúde bucal, porém alguns podem afetar a estética. Nesse caso, é possível alterar a forma e a cor desse dente buscando...
Com qual idade devo consultar um ortodontista?
Você tem dúvidas sobre o momento certo para levar seu filho a uma consulta com o ortodontista?Assista esse vídeo que o @dr.paulonagata fez contando tudo sobre qual a melhor idade para levar suas crianças ao ortodontista! Vem ver!E lembre-se: Ficou com...
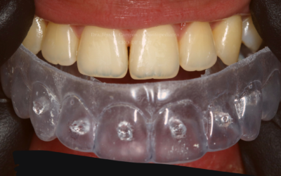
Precisa usar aparelho mas não quer sorriso metálico?
Nós temos a solução! O Invisalign é um aparelho transparente, confortável e discreto. Muito eficiente para casos de apinhamento severo e leve.Vem saber mais clicando aqui!Entre em contato ou procure seu ortodontista de confiança.
Ortopedia Funcional dos Maxilares
Quando indicada, a correção pode ser realizada em pessoas de qualquer idade, usando aparelho móvel ortopédico, aparelho transparente ou com pistas. O tratamento não deve causar dor e é executado, normalmente, sem extração de dentes (vale lembrar que cada...
Trauma Dentário
As quedas e pancadas em crianças são normais, fazem parte do processo de crescimento e desenvolvimento psicomotor. Além disso, alguns traumas em adultos com objetos ou acidentes, também podem ocorrer.Esses traumas podem resultar desde machucados pequenos e...
Clareamento
O clareamento dental é um tratamento na odontologia com muitos anos de história. É um tratamento estético pouco invasivo e com resultados muito satisfatórios.Clique aqui e saiba mais: https://aquarelaorto.com.br/tratamentos/clareamento-dental/Ficou com...
Seu filho respira de boca aberta?
Já notou que na hora de dormir a boquinha acaba abrindo e a respiração acontece por lá?A respiração pela boca não é normal e precisa ser investigada.Tem alguma dúvida? Entre em contato ou procure seu ortodontista de confiança.
Cárie Precoce
Cárie precoce Segunda a AAPD (American Academy of Pediatric Dentists), cárie precoce é definida como a presença de lesões cariosas, cavitadas ou não; perca dentária por cárie; ou restaurações em dentes de leite em crianças de até 6 anos de idade. Quando esses achados...
Quanto de gengiva deve aparecer no meu sorriso?
Quando a gengiva aparece de maneira exagerada, falamos que a pessoa possui um sorriso gengival. Esteticamente falando, deve existir um proporção apropriada de exposição de dentes e gengivas.Muita gente não se incomoda com a gengiva aparecendo, mas os que...
Prevenção Odontológica
Evitar a instalação de uma cárie ou problema periodontal, por exemplo, é mais importante do que apenas tratar o problema depois de instalado. É comum acreditar que nada vai acontecer com a gente, porém, vale lembrar que ter dentes brancos e bonitos não...








