Brasília Shopping 13º andar (61) 99187-5504 / Taguatinga Trade Center (61) 98287-0986

MIH ou HMI – Hipomineralização dos Molares e Incisivos

 O que é?

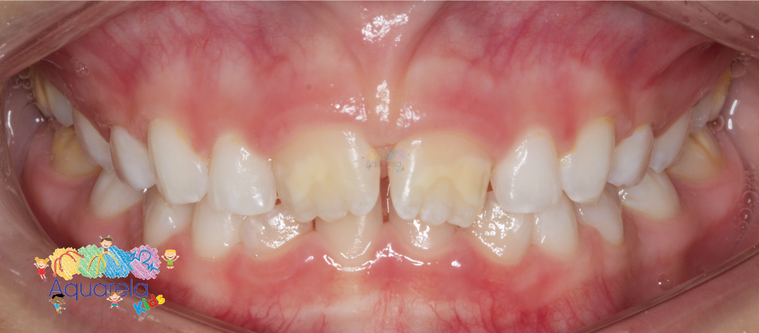
 A Hipomineralização Molar Incisivo é um defeito no processo de formação do esmalte dentário ( parte externa do dente), no qual é formado com menos mineral do que o ideal, caracterizado por um amarelamento e opacidade no dente. Ele afeta, principalmente, os primeiros molares permanentes, em alguns casos os incisivos permanentes e até segundos molares decíduos. Esse defeito afeta a translucidez do esmalte dentário gerando alterações de cores com tons que variam entre branco, amarelo e marrom, além de estruturalmente ser mais poroso e quebradiço.

A nomenclatura Hipomineralização dos Molares e Incisivos (ou em inglês, Molar Incisor Hypomineralisation) foi oficializada em 2003. Estudos recentes mostraram a ocorrência deste defeito também na dentadura decídua afetando os segundo molares, sendo chamada de HSPM ( ou em inglês, Hypomineralised Second Primary Molars).

Após a erupção completa, os dentes entram em contato com seu antagonista, e com a rotina mastigatória e/ou nos casos que apresentam parafunção, como o bruxismo, eles ficam expostos à grandes cargas gerando as fraturas na região afetada pelo defeito no esmalte dentário. As regiões fraturadas são retentivas e em muitos casos, quando há pouca higiene oral, ocorrem o desenvolvimento de lesões de cárie.  

Este fato é extremamente importante, pois pode confundir o odontopediatra ao realizar o diagnóstico. Normalmente, quando os pais percebem a lesão na boca do filho já existe uma cavidade que não se formou pela ação dos ácidos bacterianos, mas pela fratura do esmalte dentário. No entanto, com o passar do tempo há acúmulo de placa no interior da lesão e de forma secundária ocorre desmineralização do esmalte e dentina (parte interna do dente), dando início ao processo cariogênico; e o odontopediatra pode simplesmente diagnosticar como cárie e não perceber que inicialmente havia um esmalte hipomineralizado.

Para que isso não ocorra, é importante que os pais estejam sempre atentos à boca dos filhos, investigando a existência de manchas pré-existentes na superfície dos dentes – essa informações é fundamental na conversa com o odontopediatra, para que ele tome as condutas necessárias para o tratamento das lesões por MIH ou HMI.

Como identificar

  • Manchas escurecidas e ou amareladas nos primeiros molares ou incisivos
  • As manchas são na maioria das vezes concentradas
  • Aspecto de esmalte poroso
  • Dente frágil e quebradiço
  • Presença de sensibilidade na maioria dos casos

Muitas vezes o MIH pode ser confundido com fluorose, que ocorre devido a ingestão excessiva de flúor no período de formação nos dentes. Esta também é caracterizada manchas com tonalidades que variam entre branco, amarelo e marrom. Entretanto, não fragiliza a estrutura dental e não possui nenhuma relação com o MIH. A principal diferença está na fase em que a alteração ocorre. A MIH é resultado da alteração durante a fase de mineralização do esmalte dental, enquanto a fluorose se da durante a fase de maturação. Aconselha-se uma consulta com um especialista para que o diagnóstico correto seja feito para conduzir um tratamento adequado.

 A região do dente afetada pelo MIH é sempre mais sensível à estímulos frios, principalmente. Desta forma, uma sinal importante para que os pais tenham atenção para a possível existência de lesões hipomineralizadas ou até mesmo já estar quebrado, é o relato, por parte das crianças, que os dentes doem ao tomar suco, chupar sorvete e picolé.

 

O que devo fazer?

A prevenção é sempre o melhor tratamento! Sabendo disso, manter as consultas regulares ao odontopediatra permite a identificação precoce das lesões, você recebe as orientações para evitar ou retardar as fraturas, e quando elas acontecerem, garante a intervenção precoce, sem chance de desenvolvimento das lesões de cárie. Os paciente de MIH devem fazer suas consulta em um menos intervalo de tempos, e o tratamento restaurador é indicado sempre que há fraturas.

FIQUE ATENTO!

Entre em contato